세종치과 의료진의
세가지 약속

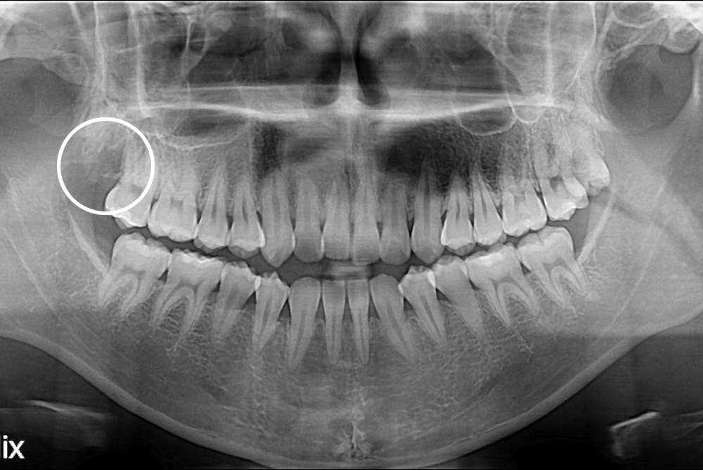
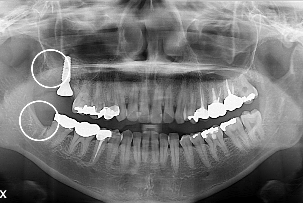
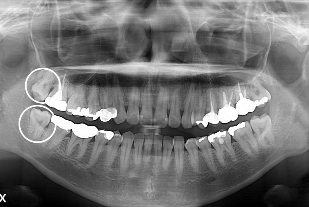
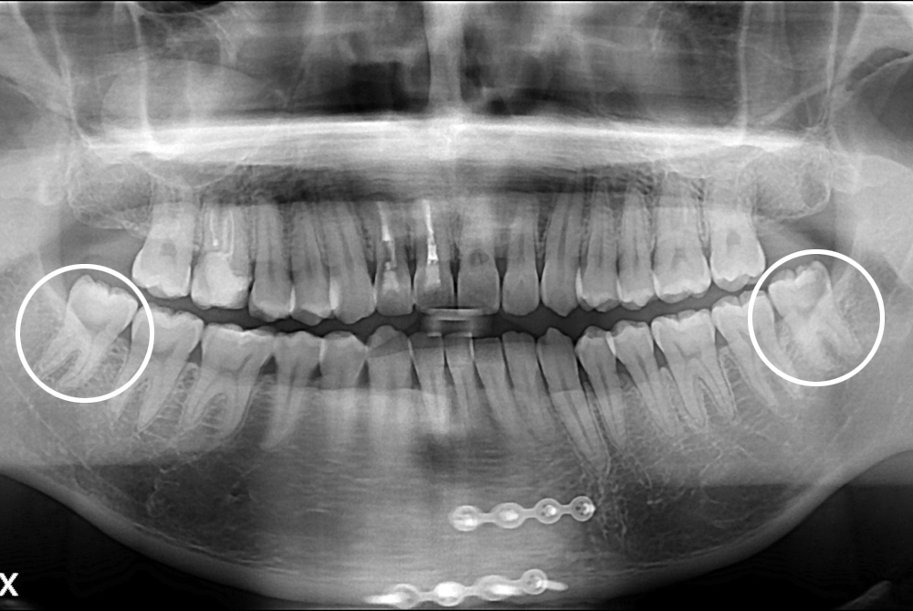
치료사례

세종치과의 진심 어린 치료는 결과로 말합니다.
실제 내원하신 환자분들의 치료 전·후 사례를 확인해보세요.

모든 치료사례 전후사진은 환자분의 동의하에 촬영되었습니다.
모든사진은 동일 환자분의 전후모습을 촬영하였으며, 사진의 밝기조절 외에 임의 수정이 없음을 알려드립니다.

*수 / 시술 후 개인에 따라 결과의 차이 및 감염 등 부작용이 발생할 수 있으므로 의료진과 충분한 상담 후 결정하시길 바랍니다.

간편 로그인 서비스

간단히 로그인 하실 수 있는 임시 로그인번호를 발급해드립니다.

비밀번호를 입력해주세요.

게시물 작성 시 입력한 비밀번호를 입력하세요

등록이 완료되었습니다.
7층

접수&대기실