당신의 평생주치의 세종치과
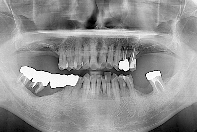
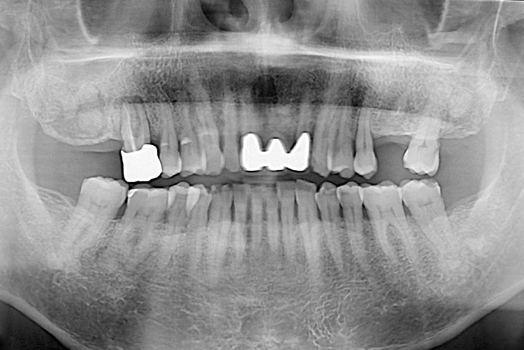
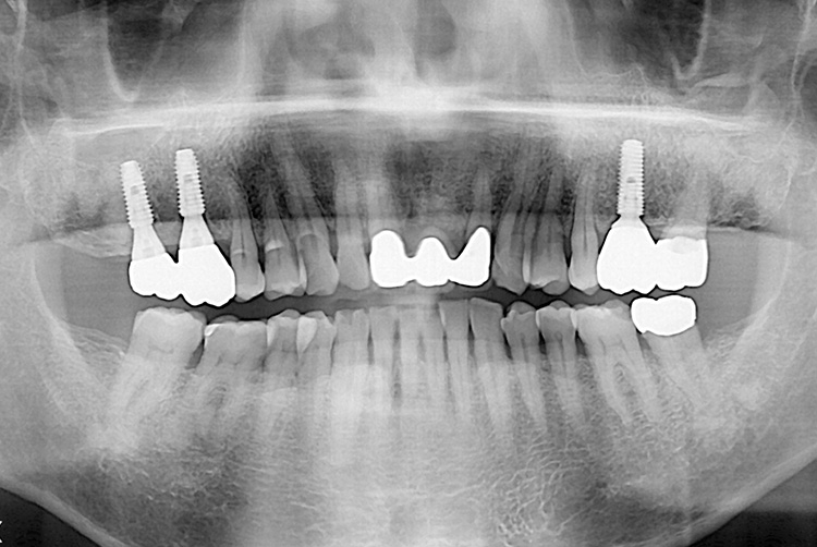
세종치과의 진심 어린 치료는 결과로 말합니다. 실제 내원하신 환자분들의 치료 전·후 사례를 확인해보세요.
간편 로그인 후 볼 수 있습니다.
모든 치료사례 전후사진은 환자분의 동의하에 촬영되었습니다. 모든사진은 동일 환자분의 전후모습을 촬영하였으며, 사진의 밝기조절 외에 임의 수정이 없음을 알려드립니다.
*수 / 시술 후 개인에 따라 결과의 차이 및 감염 등 부작용이 발생할 수 있으므로 의료진과 충분한 상담 후 결정하시길 바랍니다.
간단히 로그인 하실 수 있는 임시 로그인번호를 발급해드립니다.
게시물 작성 시 입력한 비밀번호를 입력하세요
접수&대기실