세종치과 의료진의
세가지 약속

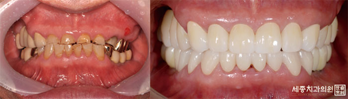
세종Story

수/ 시술 후 개인에 따라 결과의 차이 및 감염 등 부작용이 발생할
수 있으므로 의료진과 충분한 상담 후 수/시술을 결정하시길 바랍니다.

김성언 원장님의 'A.T.C 임플란트 애뉴얼 미팅 2018' 심포지엄 강연 현장!
2018-04-24 1122

01.jpg

세종치과 오시는 길.jpg

네이버톡톡-500px.png

1.png

06.jpg

02.jpg

09.jpg

07.jpg

08.jpg

00-1.jpg

03.jpg

 

 

 

00-1.jpg

 

 

 안녕하세요! 세종치과입니다. 

<blockquote class="se_textarea">

 

<em>임플란트 수술, 과연 누구에게 맡겨야 할까요?</em>

</blockquote>

 

원장님 한 분 한 분의 경험과 노하우를 모두 확인할 수 없다면
객관적으로 검증된 노하우와 실력을 믿고 맡겨야겠죠?!

세종치과의 임플란트 수술 전담 김성언 원장님께서는
국 내·외 의사를 대상으로 다양한 강연 활동을 하고 계십니다!


최근 러시아 블라디보스토크 해외 강연에 이어

서울 코엑스 'A.T.C 임플란트 애뉴얼 미팅 2018' 심포지엄에
매년 빠짐없이 초청되는 김성언 원장님! 이번 해에도 초청되셨어요!


그만큼 세종치과 김성언 원장님의 실력이 대단하다는 뜻이겠죠?!


02.jpg


3월 25일 서울 코엑스에서 진행된 A.T.C 임플란트 애뉴얼 미팅 2018의
심포지엄 주제는 '임플란트를 이용한 전악수복의 모든 것'이라는 주제로 진행되었습니다~! 

 

03.jpg  

 

08.jpg

06.jpg

 

 

김성언 원장님께서는 '전악 임플란트를 의도한 방향과 깊이로 식립하기'라는 주제로 강연을 진행하셨습니다.

디지털 가이드의 도움 없이도 임플란트를 10개까지 자로 잰 듯이 식립하는 것으로
유명하신 김성언 원장님만의 '임플란트 식립' 노하우가 담긴 강연이었는데요! 

 

 

 

07.jpg

 

 김성언 원장님의 강연에 동영상으로 촬영하고 필기하며 들으시는 청중들!
많은 분들이 강연장을 찾아 뜨거운 열기를 보여주셨는데요~

 

09.jpg

강연이 모두 끝나고 간단히 진행된 질의응답 시간!
원장님의 열정적인 강연에 유독 질문하시는 분들이 많았는데요~

쏟아지는 질문에 꼼꼼히 답변해주시는 세종치과 김성언 원장님!
처음부터 끝까지 완벽했던 서울 코엑스에서의 강연이었습니다~~!!!



더욱 다양한 김성언 원장님의 실력과 노하우를 살펴보고 싶은 분들은 아래를 클릭해주세요!

세종치과 임플란트 사이트

 

 

 

세종치과 오시는 길.jpg

1.png

네이버톡톡-500px.png

 




 

네이버 예약 카톡 상담
간편 로그인 서비스

간단히 로그인 하실 수 있는 임시 로그인번호를 발급해드립니다.

비밀번호를 입력해주세요.

게시물 작성 시 입력한 비밀번호를 입력하세요

등록이 완료되었습니다.
7층

접수&대기실