세종치과 의료진의
세가지 약속

세종Story

수/ 시술 후 개인에 따라 결과의 차이 및 감염 등 부작용이 발생할
수 있으므로 의료진과 충분한 상담 후 수/시술을 결정하시길 바랍니다.

[세종이야기] 잇몸병이 심장빌환의 원인이 되기도 한다?
2016-09-22 1758

연산동치과 치주질환.jpg

연산동치과 치주질환.jpg

5.jpg

4.jpg

1.jpg

3.jpg

2.jpg

1.jpg

 

 

잇몸병이 심장질환의 원인이 되기도 한다?

 

 

연산동치과 치주질환.jpg  

 

 

안녕하세요. 세종치과입니다. 

 

티비를 시청하다 보면 잇몸약 광고를 어렵지 않게 접하게 되는데요. 

잇몸약의 수요가 많다는 건 그만큼 크고 작은 잇몸병이 우리 주변에 흔하게 발생한다는 이야기겠죠?

 

이처럼 잇몸병 즉, 치주질환이 흔하게 발생하는 이유 중 하나는 많은 분들이 

잇몸병을 심각한 질병으로 생각하지 않아서입니다. 

그저 가벼운 질환이라고 생각해 방치하는 분들이 많으시죠. 

 

하지만 한 연구결과에서 잇몸병이 심장질환의 원인이 될수 있다고 밝혀 화제를 일으켰는데요. 

잇몸병이 어떻게 심장질환의 원인이 될 수 있는지 세종치과에서 지금부터 알려드리도록 하겠습니다. 

 

 

1.jpg  

 

 

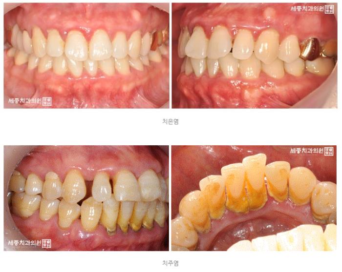
잇몸병은 만성질환이죠. 특히 중장년층의 약 90%는 잇몸 질환을 겪고 있거나 겪어 본 적이 있다고 합니다. 

 

잇몸병은 치태와 치석으로 인해 염증이 발생하고 그로인해 잇몸뼈가 아래로 내려앉거나 흡수되는 구강질환입니다.  

 

 

2.jpg  

 

 

잇몸염증을 일으키는 세균과 그로인한 염증이 심장병 등 여러가지 전신질환과 연관된다고 하는데요. 

 

구강 내 존재하는 세균들이 혈류를 통해 심장 혈관에 염증을 일으키고

지방덩이리를 형성해 심혈관을 좁게만드는 동맥경화를 일으키기도 합니다. 

이러한 증상들은 협심증, 심근경색 등의 원인이 될 수도 있습니다. 

 

 

3.jpg  

 

 

또한 잇몸병의 만선 염증은 염증반응 물질을 생성해 

심장, 폐, 췌장 등의 부위에 암발생을 증가시킬 수 있다는 연구결과도 함께 전해졌는데요. 

이러한 결과들로 잇몸병이 구강내에 한정되지 안고 전신질환의 확률을 높이기도 한다는 것을 알 수 있습니다. 

 

이처럼 무서운 잇몸병 미리 예방하는 습관을 가져야 하겠죠? 

 

 

4.jpg  

 

 

이러한 치은염과 치주염을 예방하기 위해서는 치석과 치태를 제거해줄 

정기적인 스케일링과 검진이 중요합니다. 

 

 

5.jpg  

 

 

또한 부산 세종치과는 스스로 관리가 어려운 잇몸질환 환자분들을 위해

잇몸질환 예방치료 프로그램 SOMI프로그램도 진행하고 있습니다. 

 

잇몸질환에 대한 궁금증이나 예방 프로그램 SOMI에 대해 궁금하신 사항이 있다면

1544-5155번으로 전화주시거나 온라인 상담 게시판을 이용해주세요~!

 

  

 

 



 

네이버 예약 카톡 상담
간편 로그인 서비스

간단히 로그인 하실 수 있는 임시 로그인번호를 발급해드립니다.

비밀번호를 입력해주세요.

게시물 작성 시 입력한 비밀번호를 입력하세요

등록이 완료되었습니다.
7층

접수&대기실