세종치과 의료진의
세가지 약속

치료사례

 

세종치과의 진심 어린 치료는 결과로 말합니다.
실제 내원하신 환자분들의 치료 전·후 사례를 확인해보세요.

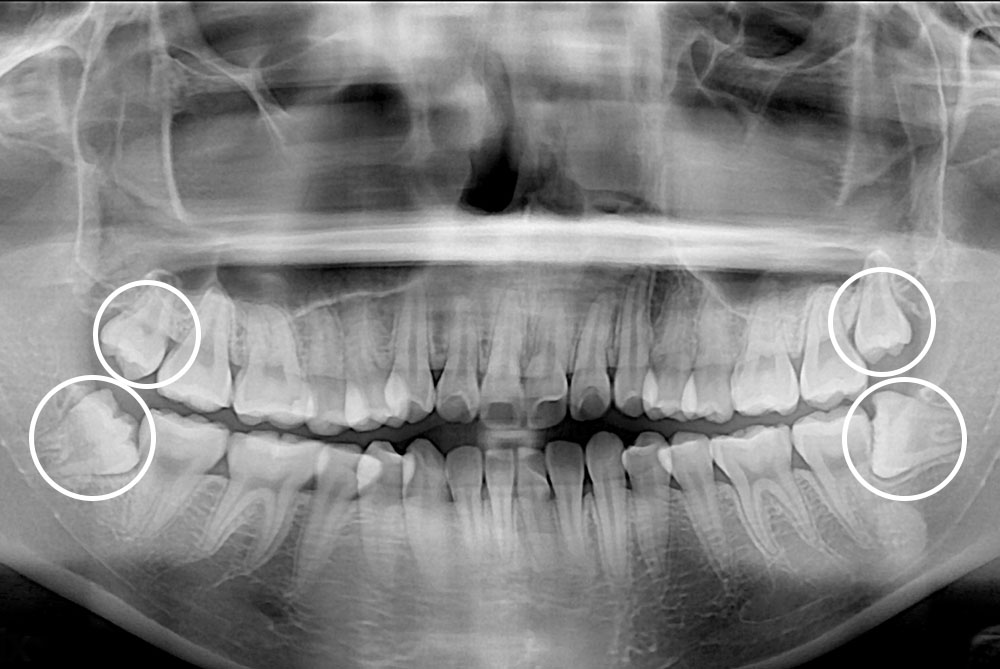
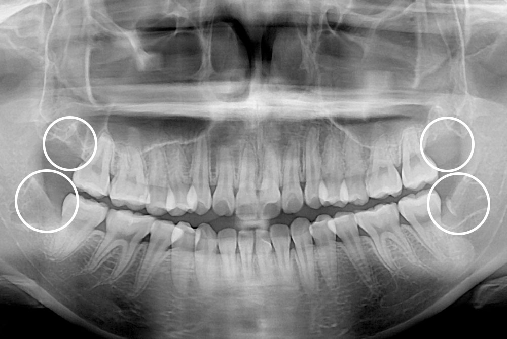
[사랑니] 매복 사랑니 발치
2022-10-26 79

a423f45bad706e178bb6092cb7a71735.jpg

치료전 : 2019-08-26

PX20190911_173836_0735_00000000.jpg

치료후 : 2019-09-11

세종치과는 구강악안면외과학 박사이신 원장님이 발치하는 치과입니다 


다음글 임플란트

 

네이버 예약 카톡 상담
간편 로그인 서비스

간단히 로그인 하실 수 있는 임시 로그인번호를 발급해드립니다.

비밀번호를 입력해주세요.

게시물 작성 시 입력한 비밀번호를 입력하세요

등록이 완료되었습니다.
7층

접수&대기실