세종치과 의료진의
세가지 약속

치료사례

 

세종치과의 진심 어린 치료는 결과로 말합니다.
실제 내원하신 환자분들의 치료 전·후 사례를 확인해보세요.

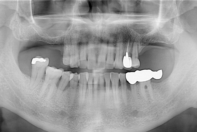
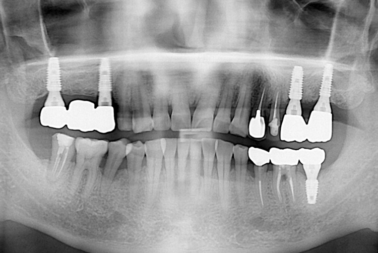
[임플란트] 임플란트
2022-01-19 73

28291cb320d6b0eb71302dc1086f579b.jpg

치료전 : 2016-12-02

19.09.19.jpg

치료후 : 2019-09-19

세종치과는 많은 환자와 다양한 케이스를 바탕으로 항상 편안한 임플란트 수술을 제공하고자 노력하고,

오래동안 튼튼히 쓸 수 있는 임플란트 수술을 가장 큰 목표로 삼고 있습니다



 

네이버 예약 카톡 상담
간편 로그인 서비스

간단히 로그인 하실 수 있는 임시 로그인번호를 발급해드립니다.

비밀번호를 입력해주세요.

게시물 작성 시 입력한 비밀번호를 입력하세요

등록이 완료되었습니다.
7층

접수&대기실