세종치과 의료진의
세가지 약속

치료사례

 

세종치과의 진심 어린 치료는 결과로 말합니다.
실제 내원하신 환자분들의 치료 전·후 사례를 확인해보세요.

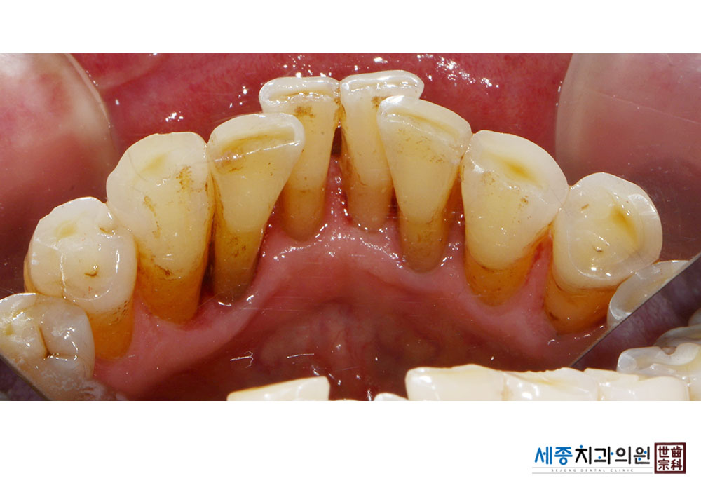
[스케일링] 치주질환 예방 스케일링
2021-07-07 77

d2fe4adfc42d00ec07f0a80554f7a8be.jpg

치료전 : 2021-01-13

양준모_후.jpg

치료후 : 2021-01-13

가글마취&저주파 스켈러를 사용한 스케일링    


다음글 임플란트

 

네이버 예약 카톡 상담
간편 로그인 서비스

간단히 로그인 하실 수 있는 임시 로그인번호를 발급해드립니다.

비밀번호를 입력해주세요.

게시물 작성 시 입력한 비밀번호를 입력하세요

등록이 완료되었습니다.
7층

접수&대기실