당신의 평생주치의 세종치과
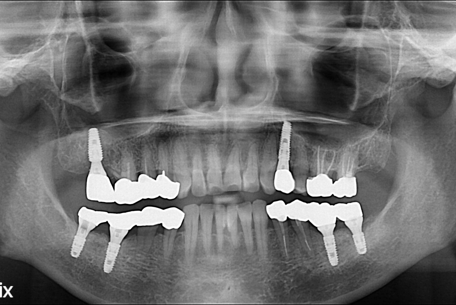
세종치과의 진심 어린 치료는 결과로 말합니다. 실제 내원하신 환자분들의 치료 전·후 사례를 확인해보세요.
치료전 : 2016-08-26
치료후 : 2016-12-14
세종치과는 많은 환자와 다양한 케이스를 바탕으로 항상 편안한 임플란트 수술을 제공하고자 노력하고,
오래동안 튼튼히 쓸 수 있는 임플란트 수술을 가장 큰 목표로 삼고 있습니다
간단히 로그인 하실 수 있는 임시 로그인번호를 발급해드립니다.
게시물 작성 시 입력한 비밀번호를 입력하세요
접수&대기실