세종치과 의료진의
세가지 약속

치료사례

 

세종치과의 진심 어린 치료는 결과로 말합니다.
실제 내원하신 환자분들의 치료 전·후 사례를 확인해보세요.

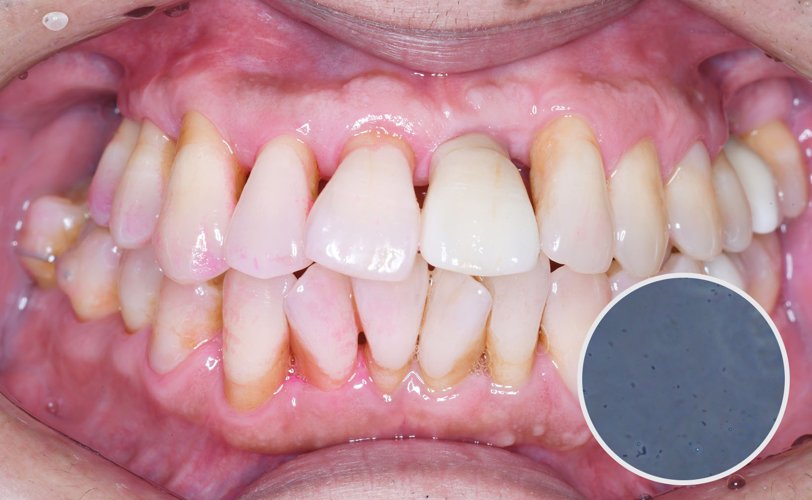
[예방치료] 세종치과 TOC4U
2025-01-07 123

c4b999cc5163624ff7f8133b03d4c0e6.jpg

치료전 : 2023-05-15

후.jpg

치료후 : 2023-08-03

세종치과 예방 관리

 

치아 건강을 방해하는 원인을 단계별 구강검진을 통해 알아보고

 예방 전담 의료진의 1:1 맞춤 교육까지 진행하는 세종치과의 예방 프로그램을 시작해보세요.


이전글 임플란트

 

네이버 예약 카톡 상담
간편 로그인 서비스

간단히 로그인 하실 수 있는 임시 로그인번호를 발급해드립니다.

비밀번호를 입력해주세요.

게시물 작성 시 입력한 비밀번호를 입력하세요

등록이 완료되었습니다.
7층

접수&대기실