세종치과 의료진의
세가지 약속

빠른 상담신청

본 게시판은 비용 및 단순 문의 비공개형 게시판입니다.
빠른 상담을 원하시는 경우, 네이버 톡톡 또는 카카오톡으로 문의해 주세요.

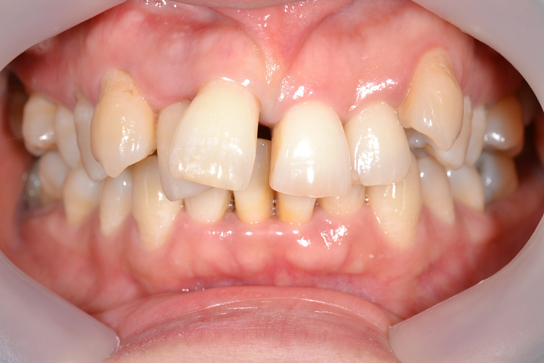
앞니 벌어짐과 치주질환
은*맘 2016-01-04

첨부파일 : 첨부파일 류경하_0003.jpg

류경하_0003.jpg

안녕하세요.전 올해 36세의 주부 입니다.다름이 아니고 제 치아가 원래 크고 덧니도 있고 기형치인데

둘째를 출산한 후 앞니가 심하게 벌어지고 앞으로 계속 튀어나와서 미관상 너무 보기 좋지않아 나름 제가 사는 동네에서

제법 큰 치과병원(치주.보철.교정과가 함께있고 원장님이 5명)에 내원해 오랜시간을 걸쳐 진단을 받았습니다.

그런데 결과가 대학병원에 가서 치료를 하라는 거에요.지금 일단 앞니라도 어떻게 바르게 하고 싶은데 손을 못 대시겠답니다.

처음엔 앞니 3개 발치후 브릿지(올세라믹)를 할 예정이 였는데 그것도 못 해준다고 하네요.

그래서 수소문 끝에 세종치과가 실력이 좋다고 하여 이렇게 문의 드립니다.

그냥 대학병원에 바로 가서 치료를 받는게 좋을까요? 솔직히 대학병원에 가면 시간도 너무 오래걸리고 비용적인 부분도

무시를 못할지라 우선 여기에 문의부터 드려봅니다. 

이어서 제 동생이 세종치과에서 사랑니 발치를 해서 이 곳을 추천해 주네요.

어제 전화상담도 드렸다고 합니다. 저번 병원에서 찍은 사진 참고될까 올립니다.

제가봐도 제 이빨 답이 안나오네요.발치를 한다해도 상관없으니 답변 부탁드립니다.

답변완료
  • 세종치과
    2016-01-05
안녕하세요 세종치과입니다.
동생분하고 통화후 설명을 드렸습니다.
본원에서도 자세한 사항은 원장님 검진을 받아보셔야 알 수 있는부분이라
이렇게 사진만으로 가능하다 불가능하다 단정지어 말하기 힘든부분이 있습니다.
일단 첨부해주신 사진으로 원장님께 먼저 상의후 연락드리겠습니다.
가능하시다면 1544-5155번으로 전화주시면 설명드리겠습니다.
네이버 예약 카톡 상담
간편 로그인 서비스

간단히 로그인 하실 수 있는 임시 로그인번호를 발급해드립니다.

비밀번호를 입력해주세요.

게시물 작성 시 입력한 비밀번호를 입력하세요

등록이 완료되었습니다.
7층

접수&대기실